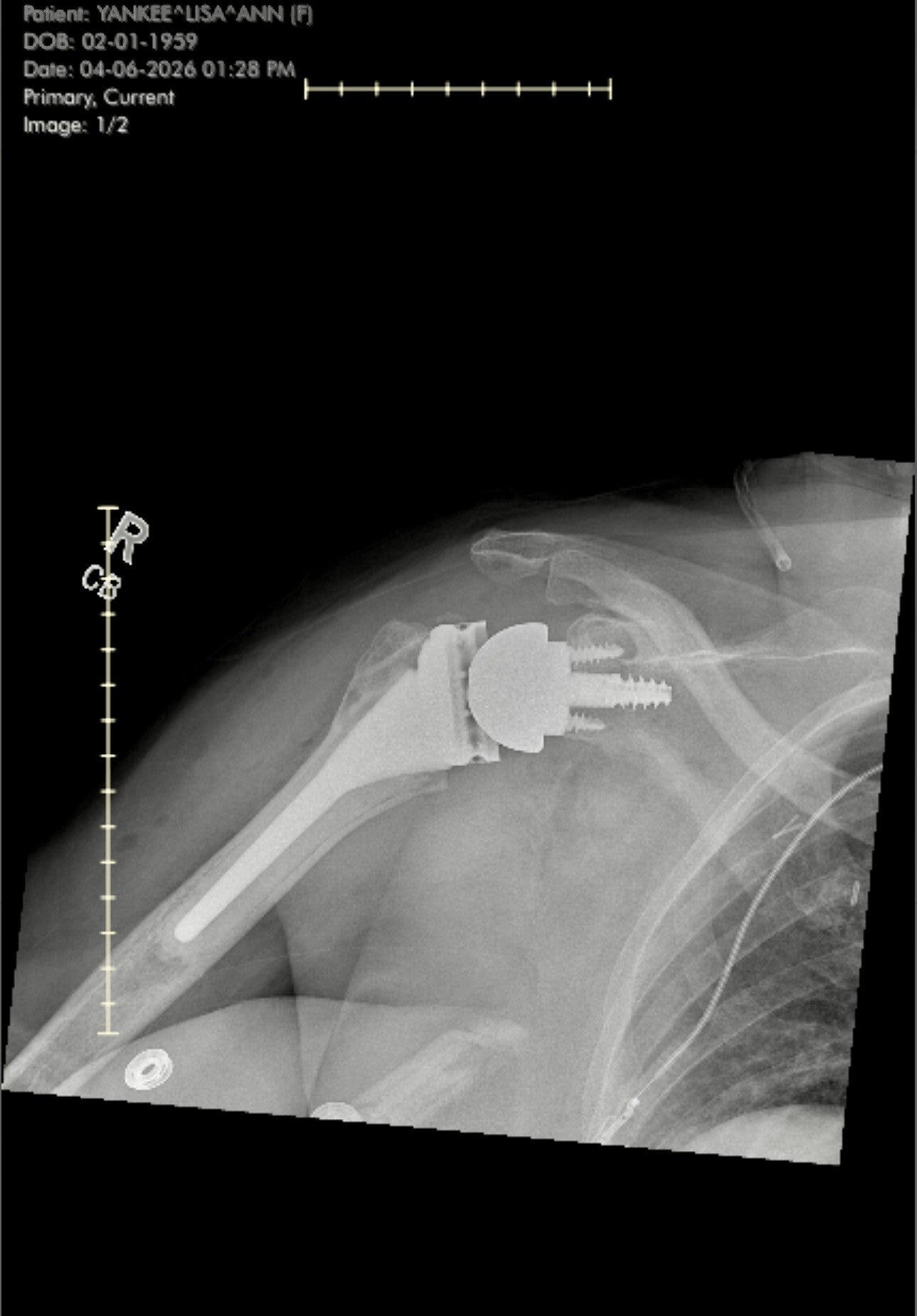
Charting the path to recovery
Welcome to the 'Recovery milestones' section of My journey through shoulder replacement. Here, I'll share the significant steps and achievements in my healing process, offering a glimpse into what to expect and how to navigate your own recovery journey.

Key milestones in healing
One of the most important aspects has been consistently icing the shoulder using the cooling ice machine. This continuous application has been crucial for managing swelling and discomfort. Alongside this, diligent pain management has been a constant focus. As the days pass, I find myself needing less and less medication, a significant step forward.

Insights for your journey
My best advice for anyone approaching these milestones is to continually evaluate your pain levels. Keeping up with consistent pain relief, whether through medication or other methods, is vital for a smoother recovery. Listen to your body and adjust as needed.

Surprising moments in recovery
Perhaps the most surprising aspect of reaching these milestones has been how quickly the body seems to heal and how rapidly the pain lessens. There are moments when you realize significant progress has been made in a relatively short period, which is incredibly encouraging.